點擊瀏覽 休斯頓黃頁 電子書

  • 社評1201 國際區雙喜臨門

    國際區雙喜臨門久未謀面的國際區理事史蒂文李今午出席了我們的月會, 大家都前往問候, 非常慶幸他在經過多月之病魔纏身之後, 終於重新站了起來。素有“休斯敦川普”稱號之史蒂文, 他的成功是個非常傳奇之故事, 當他從越南逃到美國之後, 尤於身體短小精幹,從一名油管鐵鉗工開始,成為一位勇於拚搏的地產開發商,成功地在全市擁有許多商業地產, 近月來因為個人聚勞成疾  但他以無比之毅力終於站了起來。今天的月會上, 我們大家鼓掌歡迎他回到國際區大家庭, 同時也在會上通過建造國際區大門, 希望在六個月內完工落成。近二十年了, 史蒂文


  • 大天使植牙專科 周啓誠醫生專欄 24條 – 種植牙和美學!

    我們中的許多人經常認爲,當您缺失牙齒時,將來可以簡單地用某種口腔修複體來替換它們。 當然,還有更常見的牙齒缺失解決方案,例如牙橋和假牙,但越來越流行的是種植牙。 對于牙齒缺失的人來說,種植牙是迄今爲止比其他可用選擇更好的選擇,因爲它具有一系列經過廣泛研究和證明的好處和優勢。


  • 社評 1130 農曆新年遊園嘉華年會將擴大举行

                              農曆新年遊園嘉華年會將擴大举行為了迎接2024 龍年之到來, 美南新聞已經聯合各界社團、 學區召開了第一次籌備會, 決定明年二月十日整天擴大休斯敦西南區舉辦的各項文化社區活動, 全面推動今後成為全市慶祝大會,吸引各地民眾參與, 促進觀光和經濟之發展。正在籌劃中之慶祝大會, 將分為兩大部份, 由各族裔進行文藝表演, 鼓樂隊舞龍舞獅雜技, 在整天之活動舞台上充分表現各國之文化特色, 另一部份將設國際美食區, 將有代表各族裔餐廳參加 。多年來, 我們在國際區不斷努力拓展工商業之進步, 繁榮地方經濟, 卓有所成。新年游園會希望今後變成一個全市性之文化活動, 可以幫助休斯敦帶來更多之觀光客


  • 社評 1129 藍天會在台灣再現嗎

    藍天會在台灣再現嗎中華民國在台灣之總統副總統爭奪戰, 目前正在激烈展開中, 民進黨、 國民黨及民眾黨都希望奪得勝利,主導未來政權。半年多來, 由柯文哲及侯友宜主導之民眾國民兩黨在台北君悅飯店之最後談判 ,以鬧劇不歡而散, 大家分道揚鏢 。有百年歷史的國民黨立即提名媒體界老將有政治金童之稱的趙少康及前高雄市長韓國瑜加入戰鬥行列 ,這支強壯隊伍終於使國民黨鹼魚翻身, 幾天之內直逼民進黨之民調, 而且有後來居上之趨勢。郭趙兩人之加入立即全面召回藍營人馬,  把基本盤重整到百分之三十以上。 民進黨執政近八年來, 從改課綱到清算黨產, 逼走媒體 ,已經使反對者咬牙切齒。 國民黨此番若能重掌大權, 主張九二共識, 立即恢復兩岸交流, 重改課綱, 缩短兵役, 重啟核電, 恢復特別檢察署 。不過海外支持者已經做好準備, 藍天是否重現, 答案將很快呈現。


  • 社評1128 休斯敦市長最後決勝負

    图片来源: Reuters图片来源: Houston Chronicle休斯敦市長最後決勝負美國第四大城之市長鹿死誰手将定於十二月九日揭曉,兩位政壇老將都在做最後衝刺, 希望當上這座多元族裔之大城市之首長。根據最新之民意測驗,州參議員惠特邁仍然領先國會議員希拉積克遜李百分之七,上次之得票數是一萬七千四百一十票對九萬零九十三票, 惠特邁領先約百分之七 ,其他十四人都被丟在後面。休斯敦是全美各族裔最多之大城市, 近年本全球各國之新移民也包括成千上萬的加州人不斷湧入, 同樣也造成治安問題及公共設施之不足。 


  • 社評1127 關心國事天下事

    關心國事天下事新冠疫情打亂了世界大局, 各國經濟面臨之衝擊。 中東戰事、 俄烏之戰、 台海情勢及緬北地區詐騙集團之猖狂, 這個地球真是充滿了不確定性。美國及台灣目前正在進行一場國家領導人之選舉, 台美兩地未來何人勝出將會決定世界之前途, 戰爭舆和平可能就在一念之間。海峽兩岸之未來是我們大家共同關切的大事, 這關乎世界局勢之演變 ,老實說 ,此次中華民國總統大選之三組人馬已經決定, 但是彼此在未來國家定位問題上確有極大之分歧 。我們呼籲海外關心國事的有識之士, 但應該在未來五十多天內立即行動, 可以透過座談, 捐款及回國投票方式來加入行動行列。我們將在全美加地區聯合二十個大小城市進行串聯, 充分反映大家之意見, 為這次之大選盡份力量。


  • 社評1125 環球第一 永續經營

    有志者 事竟成環球第一   永續經營昨天在環球第一銀行大廳和同仁們一起慶祝今年的感恩節,心情特別激動, 尤其是此時此地, 經過數年之艱苦奮鬥, 我們在今年年初終於打開了銀行之大門。「有志者事竟成 」在我們開始有意申請銀行執照的過程中, 曾經經過許多金融銀行律師之努力, 皆未成功。 一直到有一百零七年历史的教堂山銀行, 主事者史密斯先生有意让我們加入,終於峯回路轉, 實現了我們的夢想。金融事業和社區經濟發展有着極其密切之關係。 環球第一銀行之創辦人集聚了主流 華裔、 韓裔、 印裔 、尼伯爾裔、 巴裔、 拉丁裔, 可謂一個美國社會之縮影。 我們希望成為一個真正的社區銀行, 服務最基層之各行各業, 同時為社區之提供各項福利教育文化之服務。今天和我們的國際員工團隊向各位表示節日之問候,我們服務之大門是永遠敞開。If T


  • 社評 1124 國民黨候友宜 趙少康成局

    國民黨候友宜 趙少康成局最迎一連串的政治大戱, 藍白在野势力破局之後 ,國民黨最終提名候友宜搭配趙少康成軍 ,民眾黨柯文哲也和台灣財團新光集團之小公立吳欣盈共同出戰總統大選。我們海內外的華人應該對此次台灣中華民國總統副總統之大選寄予高度之關切, 理由非常簡單, 未來何人執政領導台灣未來之走向, 將立即影響中國大陸 、台灣及美國之三邊關係。今天包括我們居住在美國的華裔美人處境愈加困難, 理由是中美兩國長久來,因為台灣問題有極大之分歧。我們的立塲是: 我們要和平,而不是以戰爭來解決台海問題。我們呼籲全美華裔社區, 在未來五十天內應該通過座談集會向美國政界人民表達我們的看法, 也更要懇切地告訴兩岸之執政者, 我們應該有智慧和能力來解決自己的問題 ,決不要變成亞洲的烏克蘭。KMT Selects A Presidential teamAfter the blue and white camps broke, the talks of the KMT


  • 社評1123 感恩-珍惜生命之瞬間

    感恩-珍惜生命之瞬間今天是感恩節 ,我倚在窗前注視着院裡不斷湧出之噴水池塘, 让我憶起逝去的雙親,他們的恩情如喷水流長, 對家人之關愛及友人之陪伴,工作上之夥伴和伸出援手幫助過我們的人。今天世界充滿了戰爭仇恨和政客之杈謀,請看昨晚在台北君悅飯店上演的藍白合政治大戱说明了台灣政局之難解,稍有不慎即會使二千三百萬人之命運遭到致命之威脅。在中東及歐洲之戰火未熄, 成千上萬之無辜無家可歸 ,初生嬰兒死於炮火之下。在紐約及休斯敦街頭, 感恩節之遊行正在開始, 街上之觀眾向花車致敬禮 ,這股祥和歡樂充滿大街 ,此情此人景和戰火連天之地區真是天壤之別。我們必須知福惜福, 要給那些需要幫助的人伸出援手, 每個人皆能為社會帶來一絲溫暖。Gratitude - Cherish The Moments Of Life Today is Thanksgiving day. I lean


  • 社評 1122 台灣大選事關世界局勢

    台灣大選事關世界局勢中華民國總統大選定於明年元月十三日舉行, 這塲選戰將會決定台灣二千三百萬人民之命運, 也會牽動中美及世界未來之動向。為了打敗現任的民進黨政府, 在野的國民黨及民眾黨希望結合行動, 打敗目前已經執政近八年的民進黨政府。七十年來,中美兩國在台灣問題上存在許多無法解決之問題, 對台灣而言,對中國大陸之關係是無法擺脫之事實,更事關亞洲及世界之局勢走向。我們生活在海外的華人同胞, 對於這場大選表達高度關注之最大原因,是對兩岸關係之未來影響, 我們決不願看到以戰爭手段來解決兩岸之分歧。數十年來, 海峽兩岸人民以勤勞刻苦之美德, 取得了極大之成就, 況且中國大陸已成為世界第二大經濟體 ,這些成就實在是來之不易。 我們忠心希望海峽兩岸之領導者以高度智慧來處理我們共


  • 社評1121 我們社區族群大團圓

      我們社區族群大團圓近四百位賓客上週五參加了國際貿易中心二十一週年慶, 五位得獎者和數十位理事及贊助商留下了一張團體照, 這是一項歷史之記錄,也是美國休斯顿多元族裔團體之象徵。休斯敦國際貿易中心及國際區之成立, 對西南地區這塊土地產生巨大變化。 我們改變了此地區之文化商業及城市之重整, 至今有近二十萬居民在此生活 。當你走在百利大道兩旁時 ,大小型之超市及餐廳幾乎都有擁擠之人潮 ,並且聽到不同之各國語言。美國這塊土地仍然是世界上被認為最佳之移民國家, 許多第一代之移民歴盡千辛萬苦到了美國, 他們的第二代多半有非常傑出之成就, 他們深深瞭解父母輩之苦心。美南新聞集團目前正積極推動金融銀行事業之發展, 我們的目標是把金融媒體及文化貿易結為一體 ,全面推展對社區之更多更好之服務。Our Community


  • 社評 1120 我們為何而戰

                                                我們為何而戰國際貿易中心慶祝大會後, 我們纷紛接到許多賀電及郵件。 包括華亞裔、 非裔、 西裔及主流人士都對這次活動表示高度讃揚, 有人甚至說這是我在休斯敦數十年來第一次看到如此盛會,參與者包括了各族裔及政商外交代表。這些溢美之詞,事實上不但是對我們之鼓勵, 更是使我們感到無比之興奮, 也代表了我們數十年在美國社會奮鬥之成績單。無可諱言, 包括華亞裔在內之種族, 從川普時代疫情爆發以來, 我們在社會各階層發生了非常大之變化, 社會上之歧視和學界之不公平, 但是我們從未有過之挑戰。


  • 社評 1118 我們生命中最難忘的一天

    我們生命中最難忘的一天 冠蓋雲集  友情永固休斯敦國際貿易中心21 歲生日昨晚在威斯汀大


  • 社評 1117 國際貿易中心成立21週年獻詞

    國際貿易中心成立21週年獻詞今晚我非常榮幸地在此和好友社區領袖及休斯敦政商外交領事代表共聚一堂, 慶祝國際貿易中心二十一歲生日。45年前, 我和內人提着簡單之行囊從德州博蒙市拉馬大學來到休斯敦 ,從此就把這裡當成自己的家, 在此落地生根。二十年前,在德州州議會代表武候伯之倡議下, 我們成功地經過立法而成立了休斯敦國際區 ,多年來我和和在座的許多位理事們成功地把一片荒地耕耘成了本市一個非常繁榮而耀眼的商業區。就在此時, 在座的膝權先生、 金諾威先生和我們一起在國際區內創設了休斯敦國際貿易中心, 一萬五千多中小企業曾經通過此平台和世界各國進行貿易、 文化、 教育、 金融之交流。 今晚我們三位中心之発起人也同時共同慶祝我們的金婚紀念日,通過我們多年來對社會國家所作之貢獻及幸福美滿的生活是慶祝金婚最大之獻禮。


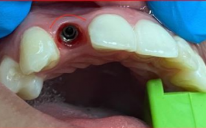
  • 大天使植牙專科 周啓誠醫生專欄 23——我需要全牙弓植入假體嗎?

    大家,早安! 感恩節周末快樂! 我希望每個人都吃得好,尤其是在這個假期,食物通常是人們關注的焦點(除了與家人和朋友共度美好時光)。 我只是希望人們能夠吃他們想吃的所有食物,而不是因爲他們對自己的牙齒感到尴尬而避免社交活動和會議。 如果是這樣,他們只是在剝奪自己寶貴的生命時刻。 我很抱歉,我不得不這麽說,因爲這種情況經常發生,甚至我在自己的家庭中也經曆過這種情況。 但對他們來說幸運的是,我說服了他們所有人,包括我的一位阿姨、我的兩個叔叔和我自己的父親,通過最終的口腔修複體進行種植牙。



  • 社評1116 費羅麗莊園的習拜會

    費羅麗莊園的習拜會拜登總統週三下午在舊金山近郊的費羅麗莊園歡迎中國國家主席習近平之到訪, 經過四個多小時之會談, 雙方同意恢復軍事對話及對反毒品控制之努力。 与此同時, 雙方認為回到正常之軌道,處理兩國軍事危機才是最重要之議題之一。 拜登總統在記者會上表示,他和習近平主席之會談具有非常建設性之成 果, 他重申一中政策從未改變。在我們看來, 台灣問題才是中美關係重中之重,海峽兩岸之兵兇戰危才是世界問題之徵結所在。中國大陸不放棄武力統一之政策 ,近八年來民進黨政府之反中行為, 造成中美兩國極大之矛盾。台灣明年元月份將舉行大選, 日前國民黨及民眾黨在前總統馬英九之見證下已經決定合力對抗民進黨, 百分之六十之台灣人民希望政黨輪替。倘若非綠合作上台, 也許是改善和中國大陸關係之契機。 如果海峽兩岸關係急


  • 社評 1115 美國經濟增長向南方移動

    美國經濟增長向南方移動2100 年休斯敦將成全美第二大城市根據最新的統計資料, 德州休斯敦、達拉斯及其他陽光帶正在領航美國全國經濟之發展, 今後在商業、 金融及文化娛樂都在向南方移動。傳統上而言,紐約是全國金融中心,  華府是政治中心 ,而洛杉磯是文化娛樂之重鎮 ,但是這種現象正在不斷改變之中。休斯敦目前有二十五家五百強公司在此紥根, 其中包括世界上最大的石油公司和能源機構 。自2020 年元月份以來, 此地區職業就業率是百分之五點五, 幾乎是全國水平百分之3.07 之一倍 。無可否認, 這些行業在不斷茁壯, 一直向南方移動。 預計到2100 年時, 休斯敦将成為全美第二大城市。根據商業權威表示刊物之統計, 德州休斯敦是外國公司最佳投資經商之大城市, 其他依次是達拉達帕來諾、 及爾文等,分別排三四五名。南方炎熱之天氣得益於冷氣機之發明, 充分改善了人民之


  • 社評1114 中美元首即將在舊金山會晤

    中美元首即將在舊金山會晤中國國家主席習近即將和拜登總統在舊金山會晤舉行中美兩國高峯會談。 這是習主席自二0一七年之後首次踏上美國國土,也將是中美兩國元首面對面討論䧟入低潮的兩國關係。此次高峯會議除了討論貿易競爭巴以及烏克蘭戰爭議題外, 台灣問題也將是重要議題之一。這對中美兩國近年來之緊張關係會帶來良性互動。習主席此行在舊金山也將出席亞太經合會非正式領導人峯會, 並且和美國民間企業舉行餐會 。他也將邀請三十九年前在愛爾華州訪問時結識之民間友人相聚, 包括前州長及駐中國大使布蘭斯塔德在內, 這充分表達習主席怀念老友之情懷。虽然從中美兩國元首之会晤我們很难看到會有任何重大之突破, 但是, 這兩𠆤大國之溝通管道非常重要。 從美國國內看來, 拜登總統之連任將面臨重大挑戰, 中東以色列在加薩走廊之戰爭, 造成世界多數國家之反對, 尤其會導


  • 社評1113 歡迎徐佳青委員長到訪

    我們必須愈戰愈勇歡迎徐佳青委員長到訪上週在美南新聞總部接待了僑務委員會徐佳青委員長, 她不但接受了電視台之專訪 ,並參觀了我們印刷厰及新成立之環球第一銀行, 我們對這位早年是活躍在台北政壇之名嘴之到訪表示熱烈之歡迎。美南新聞自創刊以來, 我們本著對社區之服務宗旨, 一直是展現着全面性新聞報導之原則和融入主流社會之努力, 才能建造今天的媒體基礎。徐委員長早年曾任台北市議員, 主持和參與電視媒體工作, 識人無數, 對社會脈動非常敏銳 ,她能出任此重要職務, 走訪全球各地, 探視僑情定有極大收獲。,